
Bệnh sâu răng không phải do con sâu gây ra mà thủ phạm chính là vi khuẩn. Sâu răng là một quá trình hoá học phá hủy các mô cấu tạo răng, có thể gặp ở mọi người, không phân biệt tuổi, giới tính, tầng lớp xã hội. Răng sẽ bị sâu khi hội đủ 3 yếu tố: vi khuẩn, chất ngọt và răng không cứng chắc. Vi khuẩn có trong miệng sẽ biến chất đường, chất ngọt trong thức ăn có nhiều đường thành acid trong vòng 10-15 phút. Acid này sẽ lắng đọng ở những nơi khó chải rửa (các rãnh trũng ở mặt nhai của răng, kẽ răng và cổ răng) rồi gây sâu răng. Lỗ sâu bắt đầu bằng một đốm trắng, sau đó làm tan rã lớp men bên ngoài, răng bị ăn thủng dần dần và gây ra lỗ sâu.
Trong miệng có nhiều loại vi khuẩn, trong đó có vi khuẩn sâu răng. Nhưng bệnh chỉ xảy ra khi có thức ăn ngọt như đường, bột, bánh, kẹo, kem, nước ngọt... vì thức ngọt là môi trường thuận lợi cho vi khuẩn phát triển.
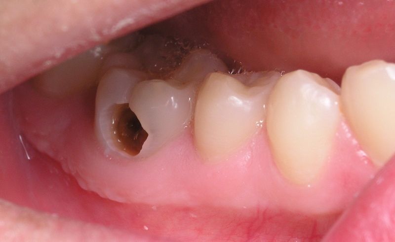
- Giai đoạn 1 là sâu men: Acid hoà tan chất khoáng có trong men răng, tạo những đốm đục; sau đó ăn mòn dần làm cho bề mặt men gồ ghề, có màu trắng đục hoặc tạo chấm đen hay một lỗ xốp nhỏ. Sâu men không đau nên bệnh nhân chưa biết bị sâu răng, chỉ phát hiện khi đi khám răng hoặc bệnh nhân tình cờ soi gương thấy đốm đen. Lưu ý một điều là: khi men răng bị chọc thủng thì tốc độ sâu răng phát triển rất nhanh.
- Giai đoạn 2 là sâu ngà: Lỗ sâu ngày càng ăn sâu và phá hủy nhanh chóng ngà răng. Bệnh nhân đau khi nhai; khi dùng thức nóng, lạnh, chua, ngọt đều ê buốt, vì thế cần sớm đến nha sĩ trám răng.
- Giai đoạn 3 là tủy viêm: Giai đoạn này có sự kích thích dây thần kinh nên gây ra những cơn đau dữ dội.
- Giai đoạn 4 là tủy chết: Lượng vi khuẩn gây bệnh sinh ra nhiều hơn, đi vào vùng quanh chóp răng, xương hàm... gây sưng mặt hay viêm xương hàm.
Ngoài hậu quả thường thấy như đau nhức, ăn ngủ không ngon, tốn kém tiền bạc, mất nhiều thời gian, ảnh hưởng đến công tác... nếu không chữa trị kịp thời, tình trạng nhiễm trùng do sâu răng sẽ lan xa đến mũi, họng, mắt, tim, thận, khớp. Đã có bệnh nhân tử vong vì viêm màng trong tim, nhiễm trùng huyết do biến chứng của sâu răng.
Các nước và vùng lãnh thổ có chương trình phòng ngừa tốt như Hồng Kông, Australia... đã kiểm soát được bệnh sâu răng và đang phấn đấu không còn trẻ em sâu răng vào năm 2005.
Sâu răng có thể phòng ngừa một cách dễ dàng bằng những biện pháp sau:
- Luôn giữ vệ sinh răng miệng, đánh răng sạch, đúng phương pháp với bàn chải tốt và kem đánh răng có fluor ngay sau khi ăn, nhất là buổi tối trước khi ngủ.
- Sau khi ăn, nếu không thể đánh răng, nên súc miệng ngay và đánh răng khi về nhà.
- Dùng chỉ tơ nha khoa để làm sạch kẽ răng.
- Dinh dưỡng tốt cho răng, ăn những thứ tốt cho răng và cơ thể, bớt ăn quà vặt ngọt; nếu ăn vặt thì nên dùng trái cây tươi có xơ để chà sạch răng và có thêm sinh tố.
- Khám răng định kỳ mỗi 6 tháng để kịp thời điều trị răng mới chớm sâu.
BS Ngô Đồng Khanh (Viện Răng hàm mặt TP HCM)